美しさと健康の両立

美しい口元は、コミュニケーションにおいて大きなプラスとなります。また、見た目の美しさを求める審美歯科ですが、機能面でのメリットも多くあります。アース歯科クリニックつくばでは、ホワイトニングの無料体験も実施しています。審美歯科を通じて、自信と健康を実感してみてください。

機能面にもこだわった治療を

機能面にもこだわった治療を

「審美歯科」は、美しさだけを追求する治療ではありません。歯や歯ぐきが本来持っている機能を取り戻し、向上させる効果もあります。
また口元の見た目がよくなると、自信を持ってコミュニケーションができ、生活の質(QOL)も向上します。
このような考え方のもと、当院ではむし歯などの治療をされた方に、審美歯科の受診をおすすめしています。

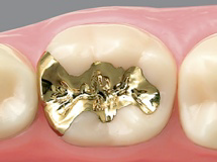
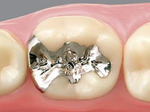
銀歯とセラミックの違い

歯科治療では「保険診療」と「自費診療」があります。むし歯治療では、保険診療の場合は「銀歯」、自由診療の場合は「セラミック」などの詰め物・被せ物を使用する点が大きく違います。

01 セラミックの見た目は、銀歯よりも美しい

銀歯は光を反射するので、白い歯と比べて目立ってしまいます。一方でセラミックは、天然歯に近い透明感と白さを備え、ほかの歯とも自然になじむことが特徴です。

02 セラミックは金属アレルギーの人でも用いることができる

銀歯は金属が歯ぐきに直接触れるので、金属アレルギーの方には使用できません。セラミックは陶器の一種で金属を含まないため、金属アレルギーを引き起こす心配もありません。

03 銀歯は歯ぐきの黒ずみの原因となるが、セラミックはその心配がない

銀歯はだ液に反応して、少しずつ金属成分が溶け出してしまい、歯ぐきが黒ずむ原因となります。セラミックは溶けることがないので、治療後に歯ぐきが黒ずむ心配がありません。

詰め物によるむし歯の治療

自由診療を選ばれた患者さまには、型取りの際に前金(22,000円、全額自己負担)をお支払いいただいています。
特徴 審美 耐久 変色 費用
金属の詰め物 銀歯(保険診療) 保険

特徴

・割れない
・安価
・劣化する
約1,500円(税込) 約1,500円(税込)
金歯 金歯

特徴

・割れない
・劣化しない
・金属アレルギーのリスクがない
★★★ 耐久 ★★★ ★★★ 変色 ★★★ 55,000円(税込) 費用 55,000円(税込)
白いセラミックの詰め物 e-maxジェネリック e-maxジェネリック

特徴

・二ケイ酸リチウム
・スイス
・硬度400MPa
★★★ 審美 ★★★ ★★ 耐久 ★★ ★★★ 変色 ★★★ 55,000円(税込) 費用 55,000円(税込)
ジルコニア ジルコニア

特徴

・透過ジルコニア
・生体親和性
・硬度1000MPa
★★ 審美 ★★ ★★★★ 耐久 ★★★★ ★★★ 変色  ★★★ 66,000円(税込) 費用 66,000円(税込)
e-max e-max

特徴

・二ケイ酸リチウム
・スイス
・硬度400MPa
★★★★ 審美 ★★★★ ★★★ 耐久 ★★★ ★★★ 変色 ★★★ 71,500円(税込) 費用 71,500円(税込)

被せ物によるむし歯の治療

自由診療を選ばれた患者さまには、型取りの際に前金(33,000円、全額自己負担)をお支払いいただいています。
特徴 審美 耐久 変色 費用
CAD,FMC(保険診療) CAD,FMC(保険診療) ・安価
・劣化する
・金属アレルギーのリスクがある
・CADは小臼歯のみ
・下の大臼歯は第2大臼歯がすべて存在してかみ合わせの負担が少ない場合に限る
・CAD硬度約100MPa

5,500円
(税込)
費用 5,500円(税込)
PFM(メタルボンド) PFM(メタルボンド) ・金属の上にセラミックを盛る
・プラークが付きにくい
・長いブリッジが作れる
・色調に制限がある
・歯肉が黒くなることがある
・硬度200MPa

審美

★★★
耐久 ★ ★★★★ 変色 ★★★★ 88,000円
(税込)
費用 5,500円(税込)
e-max、ジルコニア e-max、ジルコニア ・二ケイ酸リチウム
・スイス
・硬度400MPa
・ブリッジは3ユニットまで
・透明感がある

審美

★★★★
★★ 耐久 ★★ ★★★★★ 変色 ★★★★★ 132,000円(税込)
・ジルコニウム
・日本
・硬度1000MPa
・ブリッジは制限なし
・少し白っぽい

審美

★★★
★★★ 耐久 ★★★ ★★★★★ 変色 ★★★★★ 132,000円(税込) 費用 132,000円(税込)
ジルコボンド ジルコボンド ・ジルコニアフレーム人工股関節
・人工ダイアモンド
・スペースシャトル
・硬度1000MPa(ジルコニア)&100MPa(上部陶材)
・セラミックに色のグラデーションがある
・ブリッジに制限なし
・前歯に適している

審美

★★★★★
★★★ 耐久 ★★★ ★★★★★ 変色 ★★★★★ 154,000円(税込) 費用 154,000円(税込)

光学印象により患者さまの負担を軽減

光学印象:患者さまの負担を軽減

光学3Dカメラを使った歯型採取(光学印象)を行っています。従来の方法では、印象材を使用するため、口の中が圧迫されて嘔吐反射を引き起こす方も少なくありませんでした。光学印象なら、カメラを数分お口の中に向けるだけでスキャンできるので、リラックスした状態で歯型を取ることができます。

ホワイトニングで白さを取り戻す

ホワイトニングで白さを取り戻す

毎日丁寧に歯を磨いていても、喫煙・飲酒・加齢などによって歯に色素が沈着していきます。ホワイトニング治療では、専用の薬剤を使って、本来の白さを取り戻し、より明るく自然な口元をめざします。使用する薬剤は安全性に配慮し、細心の注意を払って取り扱っておりますのでご安心ください。

ホワイトニングメニュー

当院では、お一人お一人の歯の状態やご希望に合わせたホワイトニングをご提案するために、丁寧なカウンセリングを行っています。スタッフは定期的に開催されている勉強会で知識を深めることで、より的確なアドバイスができる体制を整えていますので、ご興味のある方はお気軽にご相談ください。
01 ホームホワイトニング

01 ホームホワイトニング

ご自宅などお好きな場所で行えるホワイトニングです。当院で製作したマウストレーに、ご自身で薬剤を入れていただき、それを装着することで歯を白くしていきます。施術のために歯科医院に通う必要がなく、比較的費用の負担が軽いことも特徴です。ただし、効果が現れるまで2週間程度かかります。
02 オフィスホワイトニング

02 オフィスホワイトニング

歯科医院で行う本格的なホワイトニングです。プロフェッショナルだからこそ扱える高濃度の薬剤と器具を用いて、短期間で歯を白くできます。ホームホワイトニングよりも際立った白さも実感できます。
炭酸水素塩配合ホワイトニング

炭酸水素塩配合ホワイトニング

1日30分の施術で、スピーディーに歯を白くすることができます。歯の状態にもよりますが、炭酸水素塩配合ホワイトニング1回が、ポリリンホワイトニング3回と同等、またはそれ以上の効果を得られるので、忙しくてなかなか時間がとれない方にもおすすめです。
ポリリンホワイトニングよりもマットな仕上がりになり、知覚過敏になりにくいことが特徴です。紫外線を含まない照射器を使用するので、痛みに弱い方や光に敏感な方でもリラックスして施術を受けていただけます。

スーパーポリリンホワイトニング

ホワイトニングの薬剤が歯にしみる、痛いと感じる方や、より白くしたい方は、スーパーポリリンホワイトニングがおすすめです。歯にしみにくい薬剤を用いるので、快適に治療を受けられます。また、ポリリン酸は歯をコーティングし修復するので、歯質を強化にもつながります。複数回通っていただき、歯を白くしていきます。

03 ウォーキングブリーチ

03 ウォーキングブリーチ

むし歯治療で神経を除去した歯は、時間とともに黒ずんでいきます。通常のホワイトニングでは対応できませんが、ウォーキングブリーチは、歯の神経が通る管に薬剤を注ぎ込むことで、歯を白くしていきます。
04 ガムブリーチ

04 ガムブリーチ

歯ぐきも生活習慣によって、色素が沈着していきます。ガムブリーチは色素沈着した歯ぐきを漂白し、自然なピンク色へと整える施術です。ピンク色のみずみずしい歯ぐきで、より美しい口元へと導きます。

ホワイトニングの注意点

ホワイトニングを行うにあたって、いくつかご注意いただきたい点があります。以下の4点をご確認の上、ご不明なことがありましたらお気軽にお問い合わせください。

・ホワイトニングの効果には個人差があります
・むし歯や歯周病などお口のトラブルがある場合は治療を優先します。
・ホワイトニングを実施する際は、歯磨きを丁寧に行って、できる限りプラークを除去してください。
・安全性が確認された薬剤を使用していますが、施術中・施術後に知覚過敏が起こることがあります。

3ヶ月ごとのメンテナンスでスーパーポリリンホワイトニングが無料

3ヶ月ごとのメンテナンスでスーパーポリリンホワイトニングが無料

2回目以降で、3ヶ月ごとのホワイトニングをご希望される方

炭酸水素塩配合ホワイトニング・スーパーポリリンホワイトニング・ホームホワイトニングのいずれかを受けられた方は、メンテナンスのご予約をしていただくことで、3ヶ月ごとにスーパーポリリンホワイトニングを無料で受けられます。
定期的なケアでお口の健康を保ちつつ、白く輝く歯をキープしましょう。

※当日のキャンセルは無料ホワイトニングの対象外となりますので、ご了承ください。

料金表

炭酸水素塩配合ホワイト
ニング
医院で行うホワイトニング。
1回で白くしたい方におすすめです。
38,500円 (税込)
スーパーポリリン
ホワイトニング
医院で行うホワイトニング。
歯を傷めずに白くできるだけでなく、歯質も強化します。
かなり白くしたい方におすすめです。
1回コース(45分×1日)13,200円(税込)
2回コース(45分×2日)24,200円(税込)
3回コース(45分×3日)35,200円(税込)
ホームホワイトニング 自宅で行うホワイトニング。
自分のペースでホワイトニングしたい方、
オフィスホワイトニングと併用してより白くしたい方、
後戻りを防ぎたい方におすすめです。
33,000円(税込)
プレミアムホワイトニング 医院と自宅で行うホワイトニング。
より白くしたい方におすすめです。
55,000円(税込)

Information

医院情報
ナビゲーション
  • 医院名
    アース歯科クリニックつくば
  • 理事長
    松井 雄一朗
  • 所在地
    〒 305-0031
    茨城県つくば市吾妻1丁目8−10 BiViつくば4F
  • 電話番号
  • URL
  • 診療内容
    むし歯/根管治療(歯内療法)/歯周病/入れ歯(義歯)/小児歯科/予防・クリーニング/歯科口腔外科/歯ぎしり・食いしばり/インプラント/矯正歯科/小児矯正歯科/マウスピース矯正/審美治療/ホワイトニング/マタニティ歯科診療/訪問歯科診療/マウスピース製作

各種保険取り扱い

保険診療を主軸に行っています。
自由診療は選択肢の一環としてご説明し、ご希望の方に行います。

予約優先診療

待ち時間軽減のため、原則予約制で診療しています。お電話(029-828-6161)かWEB予約にてご予約ください。

急患随時受付

柔軟に対応しております。混雑している場合はお待たせすることもございますので、ご来院いただく前に一度お電話(029-828-6161)にてお問い合わせください。
電話を
かける
WEB
問診
WEB
診療予約
(初診のみ)
※再診の方はお電話にてお受けいたします
診療
時間表

tel. 029-828-6161

診療時間
9:00~13:00
14:30~18:00
★14:30〜17:00
休診日:木曜・日曜・祝日

※再診の方はお電話にてお受けいたします